こんにちは!
今日も元気に革命してます!
北上しらゆりデンタルクリニック院長の境です!!
さて、今回は通常回に戻りまして、啓蒙活動にいそしみたいと思います。
今回はご質問いただきました、『歯周病』に関する記事でございます!
虫歯に関しては過去記事をご覧いただければ、と思います
過去記事
↓↓↓↓
目次
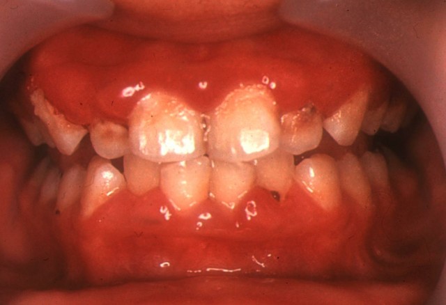
歯周病ってなに?

歯周病には大きく分けると2種類あります。
歯肉炎
と
歯周炎
です。
歯肉炎は
そのまま、歯茎に炎症がおきている状態
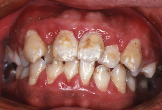
歯周炎は
あごの骨にまで炎症がおよんでいる状態
になります!!
どちらとも歯周病菌にておきるのですが
どちらかというと歯周炎のほうが大変なので
歯周炎を中心にお話していこうと思います!!
それぞれの特徴は
歯肉炎

赤色の歯肉。
歯と歯の間の歯肉が丸みを帯び膨らんでいる。
ブラッシングで出血する。
腫れた歯と歯肉との間に歯垢が溜まり悪化する
歯周炎

赤紫色歯肉。
歯と接している歯肉が更に腫れる。
ブラッシングで出血や膿がでる。
歯と歯の間が広がり、食べ物もよく詰まる。
歯肉が退縮して歯が長く見える。
歯周ポケットが深くなり骨(歯槽骨)が溶ける
です!
歯周病を進行させる要因としては
- 歯ぎしり、くいしばり、かみしめ
- 不適合な冠や義歯
- 不規則な食習慣
- 喫煙
- ストレス
- 全身疾患(糖尿病、骨粗鬆症、ホルモン異常)
- 薬の長期服用
があげられます!!
痛くないのに、こんなに溶けてる?!
歯周病の恐怖

歯周炎は基本的に慢性炎症なので、
痛みを感じません
なんか違和感感じるなぁくらいです。
そのうちにどんどんどんどん炎症が進みます。
すると、顎の骨が溶けてくるのです。
そう!
簡単にいうと歯周病とは
顎の骨を溶かしていく病気
なのです!!
しかも、
溶けた骨は元に戻りません!!
そうして、歯を支えている骨がなくなってしまうと
ぐらぐらしてきて
歯が抜けてしまいます
これが歯がなくなってしまう原因の
第一位です!!

ね?怖いでしょう?
糖尿病や、動脈硬化に!?
歯周病になるとどうなるの??

歯周病になったときにはどんなことが起こるんでしょうか??
【口のなかの変化】
- 歯みがきをすると歯ぐきから出血する
- 歯ぐきが赤く、ぶよぶよしている
- 歯ぐきから膿が出る
- 口臭が気になる
- 口の中がネバネバする
- 歯が長くなった感じがする
- 歯と歯のすき間が大きくなった
- 硬いものなどが噛みにくい
- 歯がぐらつく
【全身の変化】
- 脳梗塞の危険性
- 動脈硬化などの血管の異常
- 心臓病の危険性
- 肥満
- 糖尿病の悪化
- 骨粗鬆症の悪化
- 妊産婦における早産、低体重児の危険性
などです!!
特に糖尿病との関係は密ですので
糖尿病のかたは同時に歯周病のコントロールもしていかなくてはなりません(*_*)
そして、
喫煙者のかたにも!!
喫煙は歯周病を著しく進行させます!
やはり、健康にはよくないので禁煙をおすすめします!!
歯周病の治療!!
さて、溶けた骨は戻ってこないといいましたが、
じゃあ、なんで治療するの?
となりますが
歯周病の治療は
『治す』というより『コントロールする』
という感覚のほうが正しいと思います!
これ以上進行しないようにうまくコントロールしていくことが大事です!!
それではコントロールをどうやってすればいいんでしょう?
歯周病コントロールの2つの柱!!
歯周病コントロールの柱は
・セルフコントロール
・プロフェッショナルコントロール
の2つです!
この両輪でコントロールします!!
セルフコントロール

おうちでの歯磨きです!
これがうまくいかないとどんな治療も意味がありません
口腔衛生状態はすべての基本です!!
ということで
衛生士さんからの歯磨き指導はしっかり受けてください(^-^)
結構断るかたがいますが、、、
これが出来ていないだけで歯周病は8割進みます、、、
残念ながら!!!
プロフェッショナルコントロール

これが定期的にきてもらってしていくケアーになります!
いわゆる歯石取りです!!
歯石取りは立派な治療行為なんですね!
歯石は細菌の住みかになるので除去すると細菌数が減ります!!
ぜひ、歯医者さんでとってもらってください!!
では、今回はここまで!!
次回ですが歯周病の治療について詳しく解説していきたいと思います!!
まずはセルフコントロールから!
また見にきてくださいね!
では、また、、、
日本に歯医者革命を!!
境でした!
【歯医者革命】では、
質問をどしどし募集
しております。
この治療はどんな治療だったり、
こういうときはどうしたらいいのだったり
歯医者さんにおける疑問点を教えてください!!
質問項目の多かったものをブログにて回答していければと思っています!
ぜひ、あなたの歯の人生に役立ててみてください!
いつもありがとうございます!!

